Sunday, 24 March 2013

Tuberculosis still a major Health Problem by Dr. Vineet Saggar (Neurosurgeon in North India)


TB STILL A MAJOR HEALTH PROBLEM
Sunday, 24 March 2013 | Nitindra Bandyopadhyay | Chandigarh
Rate : 0/5                Like : 0

Tuberculosis is the second major cause of death due to a single infectious agent after HIV/AIDS. In India it is a major public health problem affecting nearly three million people in 2011 says Dr Vineet Saggar, Spinal Surgeon Ivy Hospital.
According to studies, TB death rate from 1990 to 2009 has dropped from 42 per 1,00,000 to 23 per 1,00,000  respectively. The disease burden is still huge along with its associated socio-economic challenges.
In order to mark the significance of raising awareness about the prevention and management of this pervasive disease, which often turns fatal. World Tuberculosis Day is celebrated globally each year on March 24.
TB, which is caused by the bacteria Mycobacterium tuberculosis, is preventable as well as curable.
Although pulmonary infection, which affects the lungs, is the most common type, the TB bacteria can affect other organs and tissues of the body as well, like the brain, lymph glands, stomach, bones and spine or the backbone.
Spinal tuberculosis is predominantly a disease of the young, the usual age of manifestation being the first three decades of life, thereby affecting people in their most productive years.
The diagnosis of spinal tuberculosis is difficult and it commonly presents at an advanced stage. Spinal tuberculosis progresses gradually and the early manifestations, like back-ache, fever, weakness, weight loss, nausea and vomiting, are often not paid heed to or are mistaken for other health problems, leading to its diagnosis at much advanced stages says the expert.
Though the mainstay of treatment in patients of spinal tuberculosis is Anti Tubercular treatment but surgery is required in cases of neurological deficits due to vertebral collapseor epidural abscess, infact acute vertebral collapse or epidural abscess causing cord compression are surgical emergencies , adds Dr Saggar.
World Tuberculosis Day brings an opportunity to draw attention towards innovations in medical technology made over the period of last 20 years, bringing efficacy and safety in complicated surgical procedures like spine surgeries, making treatment of spine injuries easier and quicker.  

Dr. Vineet Saggar (MCh)
Neuro Surgeon / Spinal Surgeon
Chandigarh, Mohali -
Ivy Hospital Sector 71
+91-9855990990
http://www.neurosurgeoninchandigarh.com 
http://neurosurgeonhead.blogspot.in/
http://www.facebook.com/neuro.surgeon.7186
http://www.slideshare.net/neurosergeonhead



Friday, 8 March 2013

LARGE 12 x 10 CENTEMETERS MENINGIOMA (BRAIN TUMOUR) OPERATED BY DR VINEET SAGGAR


CASE 
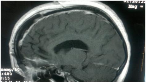
A  50 year old female presented to us in emergency with complaints of episodes of seizures and headache for  past few days . MRI brain done at a private institution revealed large olfactory grove meningioma measuring approximately 10 x 12 centimeters in size. Tumor was successfully removed by Dr Vineet Saggar after eight hours of  marathon surgery and patient was discharged after few days without any neurological deficit.
 Pre Operative MRI of the Patient showing  large tumour

 
 Post operative MRI showing complete tumor removal



Meningiomas account for 15% of intracranial tumors and 90 percent of meningiomas are intracranial. They commonly occur in the fourth through sixth decades of life. They are more common in females and are rare in children
A meningioma is a tumor of the meninges – membranes that line the skull and enclose the brain. Meningiomas may arise from any location where meninges exist (eg, nasal cavity, paranasal sinuses, middle ear, mediastinum) and are generally thought to be slow-growing and benign. A meningioma can vary in size from a few millimeters to many centimeters in diameter.
Olfactory groove meningiomas grow along the nerves that run between the brain and the nose, the nerves allow you to smell. They can become large without causing significant neurologic deficits or evidence of increased intracranial pressure. Loss of smell can often be the only symptom. Changes in mental status are seldom striking until the tumor has reached a large size. Once the tumor becomes large it impinges on the optic nerves and chiasm resulting in visual loss. 

Olfactory groove meningioma. (A) Incision and bone flap used for bifrontal craniootomy. (B) The mucosa of the frontal sinus has been removed, and the sinus is packed with bacitracin-soaked getfoam and covered with a flap of peiicranial tissue sewn to the dura. (C) The anterior sagittal sinus is ligated. (D) The blood supply coming in through the midline base of the skull is being occluded and an internal decompression of the tumor done. (E) The capsule of the tumor is being reflected into the area of internal tumor decompression and the attachments to the surrounding brain divided. Minimal retraction is placed on the surrounding brain. The major trunk of the anterior cerebral artery is dissected off the tumor (arrow) but a branch going into the capsule is coagulated and divided. (F) The posterior inferior capsule is dissected off the arachnoid over the region of the optic nerve and internal carotid artery (arrows). (G) The dural attachment has been excised. The bone usually does not need to be removed. The area is covered with a graft of perieranial tissue and gelfoam. MRI clearly defines the extent of the tumor, the edema in the surrounding brain, the relationship of the optic nerves and anterior cerebral arteries, and any extension into the ethmoid sinus . Angiography is rarely needed. In our experience, there has been no indication for preoperative embolization.
The indications for surgical treatment have been the presence of neurological symptoms, which may include a change in mental function, headache, disturbance in vision, or a seizure disorder, an asymptomatic patient with edema in the adjacent brain areas, or MRI findings that the meningioma is near the optic nerves. Radiation therapy is not recommended as a primary treatment and would be used only to treat recurrence following radical subtotal removal.
Rarely does the patient report loss of sense of smell as a symptom, although it is usually documented on examination. However, if olfaction is still present the patient should be warned about the loss of this function, since acute loss may be quite bothersome.
For patients with large tumors, we prefer a bifrontal craniotomy. . This approach is associated with the smallest amount of retraction on the frontal lobes, gives direct access to all sides of the tumor, and allows one to decompress the tumor while working along the base of the skull to interrupt the blood supply. For smaller tumors, a right subfrontal approach coming laterally over the orbital roof may be used.
The key considerations in the operation include:
1.     Dividing the attachments along the skull base to interrupt the blood supply
2.     Doing an extensive internal decompression of the tumor.
3.     Retracting the tumor capsule into the area of decompression to keep traction on the frontal lobes to a minimum.
4.     Carefully separating the tumor from attachments to the optic nerves and anterior cerebral arteries. The major branches of the anterior cerebral arteries are usually separated from the tumor by a rim of cerebral tissue or arachnoid but in large meningiomas these arteries can be involved with the tumor capsule. Frontopolar and small branches of the anterior cerebral arteries may be adherent to the posterior or superior tumor capsule and can be taken with the tumor .
5.     Excising the dural attachment and when present the hyperostotic bone, with care taken to avoid entering the ethmoid sinus unless it is known that tumor extends into that area.
Covering the region of the dural attachment with a graft of pericranial tissue and gelfoam.  
Dr. Vineet Saggar (MCh)
Neuro Surgeon / Spinal Surgeon
Chandigarh, Mohali -
Ivy Hospital Sector 71
+91-9855990990
http://www.neurosurgeoninchandigarh.com 
http://neurosurgeonhead.blogspot.in/
http://www.facebook.com/neuro.surgeon.7186
http://www.slideshare.net/neurosergeonhead